After being treated with an electronic eye implant paired with augmented-reality glasses, people with sight loss have recovered reading vision, reports a trial involving a UCL and Moorfields clinical researcher.

The results of the European clinical trial, published in The New England Journal of Medicine, showed 84% of participants were able to read letters, numbers and words using prosthetic vision through an eye that had previously lost its sight due to the untreatable progressive eye condition, geographic atrophy with dry age-related macular degeneration (AMD).
Those treated with the device could also read, on average, five lines of a vision chart; some participants could not even see the chart before their surgery.
The trial, with 38 patients in 17 hospital sites across five countries, was testing a pioneering device called PRIMA, with Moorfields Eye Hospital being the sole UK site. All patients had lost complete sight in their eye before receiving the implant.
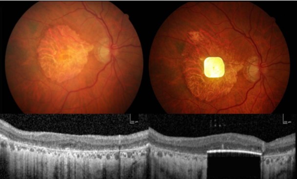
Dry AMD is a slow deterioration of the cells of the macula over many years, as the light-sensitive retinal cells die off. For most people with dry AMD, they can experience a slight loss of central vision. Through a process known as geographic atrophy (GA), it can progress to full sight loss in the eye, as the cells die and the central macula melts away. There is currently no treatment for GA, which affects 5 million people globally. All participants in this trial had lost the central sight of the eye being tested, leaving only limited peripheral vision.
This revolutionary new implant is the first ever device to enable people to read letters, numbers and words through an eye that had lost its sight.
Mr Mahi Muqit, associate professor in the UCL Institute of Ophthalmology and senior vitreoretinal consultant at Moorfields Eye Hospital, who led the UK arm of the trial, said: “In the history of artificial vision, this represents a new era. Blind patients are actually able to have meaningful central vision restoration, which has never been done before.
“Getting back the ability to read is a major improvement in their quality of life, lifts their mood and helps to restore their confidence and independence. The PRIMA chip operation can safely be performed by any trained vitreoretinal surgeon in under two hours - that is key for allowing all blind patients to have access to this new medical therapy for GA in dry AMD.”
The procedure involves a vitrectomy, where the eye’s vitreous jelly is removed from between the lens and the retina, and the surgeon inserts the ultra-thin microchip, which is shaped like a SIM card and just 2mm x 2mm. This is inserted under the centre of a patient’s retina, by creating a trapdoor into which the chip is posted. The patient uses augmented-reality glasses, containing a video camera that is connected to a small computer, with a zoom feature, attached to their waistband.
Around a month or so after the operation, once the eye has settled, the new chip is activated. The video camera in the glasses projects the visual scene as an infra-red beam directly across the chip to activate the device. Artificial intelligence (AI) algorithms through the pocket computer process this information, which is then converted into an electrical signal. This signal passes through the retinal and optical nerve cells into the brain, where it is interpreted as vision. The patient uses their glasses to focus and scan across the main object in the projected image from the video camera, using the zoom feature to enlarge the text. Each patient goes through an intensive rehabilitation programme over several months to learn to interpret these signals and start reading again.
No significant decline in existing peripheral vison was observed in trial participants.
These findings pave the way for seeking approval to market this new device.
Sheila Irvine, one of Moorfields’ patients on the trial who was diagnosed with age-related macular degeneration, said: “I wanted to take part in research to help future generations, and my optician suggested I get in touch with Moorfields. Before receiving the implant, it was like having two black discs in my eyes, with the outside distorted.
“I was an avid bookworm, and I wanted that back. I was nervous, excited, all those things. There was no pain during the operation, but you’re still aware of what’s happening. It’s a new way of looking through your eyes, and it was dead exciting when I began seeing a letter. It’s not simple, learning to read again, but the more hours I put in, the more I pick up.
“The team at Moorfields has given me challenges, like ‘Look at your prescription’, which is always tiny. I like stretching myself, trying to look at the little writing on tins, doing crosswords.
“It’s made a big difference. Reading takes you into another world, I’m definitely more optimistic now.”
The global trial was led by Dr Frank Holz of the University of Bonn, with participants from the UK, France, Italy and the Netherlands.
The PRIMA System device used in this operation is being developed by Science Corporation (science.xyz), which develops brain-computer interfaces and neural engineering.
Mr Muqit added: “My feeling is that the door is open for medical devices in this area, because there is no treatment currently licenced for dry AMD – it doesn’t exist.
“I think it’s something that, in future, could be used to treat multiple eye conditions."
More about the device:
The device is a novel wireless subretinal photovoltaic implant paired with specialised glasses that project near-infrared light to the implant, which acts like a miniature solar panel.
It is 30 micrometres/microns (0.03mm) thick, about half the thickness of a human hair.
A zoom feature gives patients the ability to magnify letters. It is implanted in the subretinal layer, under the retinal cells that have died. Until the glasses and waistband computer are turned on, the implant has no visual stimulus or signal to pass through to the brain.
In addition to practicing their reading and attending regular training, patients on the trial were encouraged to explore ways of using the device. Sheila chose to learn to do puzzles and crosswords while one of the French patients used them to help navigate the Paris Metro – both tasks being more complex than reading alone.

Masters study opportunities at UCL Make your Master’s matter For a real-world advantage, study at a world-class university and your Master’s wi...